Visit to Chennai to IGOF Masters Course in Sports Medicine at MIOT hospital.
Mr David Butt recently returned from a whirlwind visit to Chennai to speak at the IGOF Masters Course in Sports Medicine at the...
NEWS + ARTICLES
Mr David Butt recently returned from a whirlwind visit to Chennai to speak at the IGOF Masters Course in Sports Medicine at the...
Grosvenor Orthopaedic Partners’ Hip and Knee Consultant Mr Mark Webb recently visited the @RTISurgical facilities in Florida with...
Netball is a popular and fast-paced sport enjoyed by millions worldwide. However, like any physical activity, it comes with its fair share of...
Grosvenor Orthopaedic Partners are delighted to announce that Mr Mark Webb, who specialises in arthroscopic (keyhole) surgery of the hip and...
June marks the two year anniversary of the start of the highly successful Grosvenor Orthopaedic Partners hip arthroscopy service at King Edward...
At the recent European Hernia Society conference in Barcelona, Consultant orthopaedic hip surgeon Mr Oragui was able to discuss all things...
Consultant Hip Surgeon, Mr Simon Newman, recently visited the Clinique du Sport in Paris to meet Dr Frederic Laude and discuss anterior minimally...
Mr Emeka Oragui and Mr Luke Jones, seen here with the anaesthetic team and nursing team, were pleased to successfully perform a total femoral...
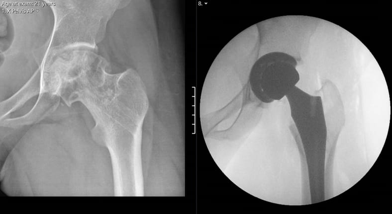
Total hip replacement is one of the most successful operations performed, with high levels of patient satisfaction and low rates of...
Post-traumatic osteoarthritis of the hip following fracture may result in severe pain and reduced mobility. Total hip replacement is an excellent...