Total hip replacement is one of the most successful operations performed, with high levels of patient satisfaction and low rates of complications. However, some patients do experience pain around their hip in the early months or years after having surgery. In most cases, the pain is not directly related to the hip replacement and can be attributed to referred pain from the lower back or the muscles around the hip.
Unfortunately, occasionally there are problems with the hip replacement, for example due to infection, instability or premature loosening of the implants. Re-do or revision surgery can be very effective at relieving pain or symptoms from a failing hip replacement.
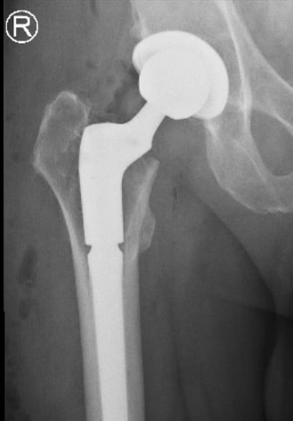
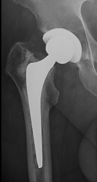
Mr J underwent a total hip replacement outside London 6 years ago. He had been suffering pain for over a year and noticed that his leg had shortened by over a centimetre. Investigations revealed he had a non-infective loosening of the original hip replacement stem. He underwent successful revision surgery under the care of Mr Simon Newman.
Mr Newman said “For most people undergoing hip replacement, one operation is all they will need. However, if problems do arise, then modern implant technology and surgical techniques have made revision hip replacement surgery a safe effective option.”
If you are concerned about your hip replacement and would like a review with one of our expert hip surgeons, please get in contact.
For more information about our Hip treatments, please click here




